Виниры в Краснодаре

25000 руб.
качественные и эстетические материалы
ультратонкие виниры
точно подбираем форму и цвет
01
Препарирование
02
Создание слепков
03
Изготовление накладок
04
Установка виниров
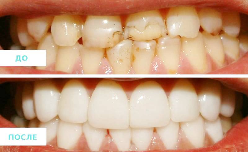
Виниры – это тонкие покрытия для зубов из керамики или специального материала. Они используются для того, чтобы улучшить вид зубов. Виниры помогают исправить разные проблемы с зубами, сделать улыбку красивой и спрятать недостатки.
Навигация по статье
Зачем ставят виниры

Стоматологи используют виниры, чтобы улучшить внешний вид зубов, сохраняя при этом их здоровье. Перед установкой виниров врач тщательно проверяет состояние зубов и учитывает пожелания пациента, чтобы достичь наилучшего результата.
Виды виниров

Разные виды виниров имеют свои особенности и преимущества, которые помогают стоматологам выбирать лучший вариант для каждого пациента. Давайте рассмотрим основные типы виниров:
Керамические виниры
Материал. Высококачественная керамика придает им естественный вид, похожий на натуральные зубы.
Прочность. Они долговечные и устойчивы к воздействию.
Эстетика. Создают естественный цвет зубов, что важно для красивой улыбки.
Композитные виниры
Материал. Смесь синтетических материалов для баланса прочности и внешнего вида.
Цветовые возможности. Широкий спектр цветов для точного соответствия цвету зубов.
Реставрация. Хороши для восстановления зубов с небольшими дефектами.
Циркониевые виниры
Материал. Изготавливаются из прочного циркония для высокой стойкости.
Прочность. Очень прочные, подходят для тех, кто ценит долговечность.
Устойчивость к пигментации. Сохраняют естественный цвет.
Люминиры
Светопропускание. Пропускают свет, создавая естественный вид.
Минимальная обточка. Требуют меньшей обработки зубов.
Улучшение цвета и формы. Эффективны для коррекции цвета и формы зубов.
Преимущества виниров
Использование виниров не только улучшает внешний вид, но и делает процесс приятным и эффективным для пациентов.
Notice: Undefined index: label in /var/www/develop/data/www/olddava.cinar-studio.ru/wp-content/themes/smilepure/vc-extend/vc-templates/vc_progress_bar.php on line 134
Когда не рекомендуется ставить виниры
Пациенты могут столкнуться с противопоказаниями, которые делают данную процедуру нежелательной или невозможной:
Недостаток зубной ткани
При недостаточном объеме зубной ткани установка виниров затрудняется, так как нужна более значительная обточка, что не всегда желательно.
Пародонтальные заболевания
Пациенты с пародонтитом имеют противопоказания для установки виниров, так как это может усугубить состояние десен и поддерживающих тканей.
Зубной кариес
Наличие зубного кариеса требует предварительного лечения и реставрации до установки виниров.
Системные заболевания
Некоторые неконтролируемые эндокринные расстройства или аутоиммунные заболевания могут повлиять на процесс заживления. Такие пациенты требуют особого внимания при установке виниров.
Аллергия на материалы
Люди, страдающие аллергией на материалы, используемые при изготовлении виниров, имеют противопоказания для данной процедуры.
Состояние эмали
Пациенты с серьезными дефектами эмали, такими как разрушение или значительные потери, нуждаются в других методах восстановления.
Потребность в ортодонтической коррекции
Если у пациента есть выраженные дефекты прикуса, которые требуют ортодонтической коррекции, то на данном этапе не рекомендуется устанавливать виниры.
Процесс установки виниров

Процесс установки виниров – важный этап, включающий обточку и подготовку зубов для создания пространства под эстетическое покрытие. В нашей клинике поставить виниры на зубы можно качественно и безболезненно. Вот шаги этой процедуры:
01. Консультация и планирование
Перед началом работы проводится беседа с пациентом для обсуждения его ожиданий, целей и противопоказаний. Врач разрабатывает план лечения.
02. Измерение и оттиск
Следует измерение и оттиск для создания точной модели зубов. Это нужно для изготовления персонализированных накладок, в которых учитывается форма и размер зубов.
03. Определение объема обточки
Врач определяет объем обточки, необходимой для создания места под виниры и лучшего крепления пластины. Обточка минимальна, чтобы сохранить зубную ткань.
04. Процесс обточки
Специальными инструментами врач проводит обточку зубов, создавая место для виниров.
05. Оценка и коррекция цвета
Во время обточки врач оценивает цвет зубов и при необходимости корректирует цвет виниров для естественного результата.
06. Препарирование для люминиров
При установке люминиров требуется минимальное препарирование, так как они крепятся к передней поверхности зубов. Препарирование отличается от обточки тем, что включает в себя более тщательную обработку зубов, создавая легкую микрошлифовку.
07. Использование временных виниров
Иногда устанавливают временные виниры для защиты обточенных зубов и обеспечения комфорта в период ожидания постоянных виниров.
08. Контроль результатов и коррекции
После установки временных виниров проводится контроль и вносятся коррекции при необходимости перед окончательной установкой постоянных виниров.
Этот процесс помогает достичь желаемого внешнего вида улыбки с учетом индивидуальных особенностей каждого пациента.
Ваши вопросы
Нужно ли обтачивать зубы, чтобы поставить виниры?
Да, часто требуется минимальная обточка для создания места под виниры, минимизируя потерю зубной ткани. Насколько сильно будут обтачивать зубы, обсуждается на консультации с врачом. Всё зависит от состояния зубов и типа виниров.
Как долго прослужат виниры, и требуется ли особый уход?
Виниры служат многие годы при правильном уходе, включая регулярную гигиеническую чистку и визиты к стоматологу. Избегание красящих продуктов поддерживает цвет пластинок. В нашу клинику поставляют только качественные материалы, поэтому мы гарантируем долгий период службы ваших виниров.
Могут ли виниры быть установлены, если у меня проблемы с деснами?
Перед установкой виниров проводится оценка состояния десен. При проблемах могут потребоваться предварительные лечебные мероприятия или альтернативные методы.
Сколько стоят виниры в многопрофильном стоматологическом центре Dava Dental Clinic?
Стоимость конструкции виниров зависит от их типа, материалов и предпочтений. Также учитывается объем работы. Некоторым пациентам требуются дополнительные процедуры по лечению полости рта, поэтому точная сумма рассчитывается только после первого приема у стоматолога. Все актуальные цены на услуги в многопрофильном стоматологическом центре Dava Dental Clinic вы можете посмотреть на нашем сайте.
Насколько больно устанавливать виниры?
Процедура обычно безболезненна благодаря местному обезболиванию. Возможно кратковременное чувство дискомфорта, но оно быстро проходит.
Какие есть правила ухода за винирами?
Регулярная чистка щеткой, ограничение красящих продуктов, избегание чрезмерных нагрузок на зубы и регулярные визиты к стоматологу поддерживают здоровье виниров.

В нашей клинике ведут прием высококвалифицированные стоматологи-терапевты с большим опытом работы. Лечение проводится грамотно и безболезненно.
Цены на установку виниров
Цены на установку виниров в стоматологической клинике Dava Dental зависят от объема предстоящих работ и вида используемых стоматологом материалов. Вы познакомились с вилами виниров и технологиями их установки, и теперь с консультацией врача вы сможете подобрать оптимальный вариант для своей ослепительной улыбки.
| Винир керамический E-MAX | 23 000 ₽ |
| Вкладка культевая металлическая | 6 500 ₽ |
| Вкладка штифтовая культевая разборная | 7 000 ₽ |
| Вкладка из диоксида циркония | 17 000 ₽ |
| Временная пластмассовая коронка изготовленная прямым методом | 3 500 ₽ |
| Временная пластмассовая коронка изготовленная в лаборатории | 6 000 ₽ |
| Коронка из диоксида циркония | 20 000 ₽ |
| Коронка керамическая E-MAX | 23 000 ₽ |
| Коронка металлокерамическая | 18 000 ₽ |
| Коронка металлокерамическая (индивидуализация) | 22 000 ₽ |
| Накладка керамическая E-MAX | 20 000 ₽ |
| Телескопические коронки | 9 200 ₽ |




























